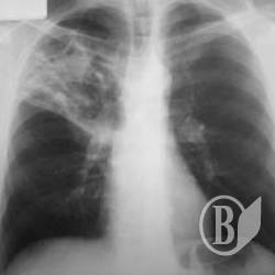
У чорнобильців проблеми з диханням
Чорнобильців забезпечують санаторно-курортними послугами.
У 2012р. в санаторно-курортних закладах відпочили та зміцнили здоров’я 3,6 тис. осіб.
До програми покращання здоров’я „чорнобильців” були залучені також реабілітаційні центри та інші заклади.
Надавалася допомога амбулаторно та в стаціонарі.
Повідомляє Головне управління статистики у Чернігівській області.
Захворюваність серед постраждалих у 2012р. становила 71,8 тис. випадків уперше встановлених діагнозів на кожні 100 тис. осіб, що перебували на обліку. Найбільш розповсюдженими були хвороби органів дихання (36,1 тис. випадків), системи кровообігу (5,6 тис.), шкіри і підшкірної клітковини (4,3 тис.), кістково-м’язової системи та сполучної тканини (4,0 тис.), сечостатевої системи (3,5 тис.) тощо.
За даними обласного центру радіаційного захисту та оздоровлення населення, у медичних закладах області системи МОЗ на кінець 2012р. під наглядом перебували 8,8 тис. ліквідаторів наслідків аварії на ЧАЕС (І група первинного обліку), 1,4 тис. осіб, евакуйованих із зони дії радіації (ІІ група), 56,6 тис. осіб, які проживали або проживають на територіях, що підлягають нагляду (ІІІ група), 15,0 тис. дітей, батьки яких належать до названих вище категорій (ІV група) та 332 дитини, народжені від осіб IV групи обліку.
Усі вони майже повністю (від 88,9% до 100%) пройшли медичний огляд. Однак здоровими визнано лише 1,1% оглянутих лікарями ліквідаторів, 2,2% – евакуйованих, 6,4% – осіб ІІІ групи обліку, 14,6% – ІV групи та 38,6% дітей, які народилися від осіб IV групи обліку.
| Версія для друку Відправити по e-mail Обговорити на форумі |
| Переглядів : 5243 |
Посилання до теми:
27.03.2013 22 чоловік записали в чорнобильці (фото)
31.03.2013 Чернігівська ТЕЦ: якщо раптом вибухне…
































Додати коментар: